
Space calendar 2026: Rocket launches, skywatching events, missions & more!
Reference Keep up with all the rocket launches, astronomical events and mission milestones for 2026 with our space calendar.

By Anthony Wood published
The Orion Nebula is the closest large star-forming region, located within the Milky Way just 1,500 light-years from Earth.

By Mike Wall published
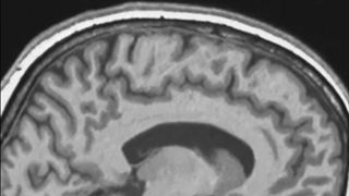
The four astronauts of SpaceX's Crew-11 mission will leave the International Space Station on Jan. 14, in the first-ever medical evacuation from the orbital lab. Here are the details.

By Tariq Malik, Mike Wall, Josh Dinner last updated
NASA is returning four astronauts to Earth early from the International Space Station due to a medical concern with one of the Crew-11 astronauts. Here's the latest news.

By Josh Dinner published
Space apparently changes your frame of mind in more ways than one.

By Tariq Malik, Daisy Dobrijevic last updated
Reference See what moon phase it is tonight and find out when you can see the rest of the moon phases for 2026.

By Mike Wall published
NASA and the U.S. Department of Energy have firmed up their commitment to develop a nuclear reactor for use on the surface of the moon by 2030.

The latest aurora forecast for tonight help you make sure you're in the right place at the right time to see the northern lights.

Follow Space.com's rocket launch blog for the latest on when the next rocket launch will be and how to follow it live.

Find out what you can see in the night sky for tonight, from planets and stars to dazzling meteor showers.

Witness live views of Earth from the International Space Station as it orbits the planet. Space streaming company Sen is broadcasting 24/7 from the ISS in beautiful 4K HD.

NASA astronaut Sally Ride became the first American woman in space aboard the space shuttle Challenger.

See what moon phase it is tonight and find out when you can see the rest of the moon phases for 2025.

Keep up with all the rocket launches, astronomical events and mission milestones for 2025 with our space calendar.

By Josh Dinner published
The observatory will combine tech from NASA's most powerful space telescopes.

By Keith Cooper published
New models suggest that Europa has very little tectonic activity at its seafloor, which is potentially catastrophic news for the hopes of finding alien life within its ocean.

By Chris McMullen last updated
The best star projectors under $100 are rarely beaten on quality and never beaten on price: These are the best options on the market.
Please login or signup to comment
Please wait...